Dentures
If you need to have dentures (either top, bottom or both) and at the same time you need to have some or all of your teeth extracted due to severe gum disease, generalized infection, bone structure loss, or any other valid reason, we will be able to take impressions, run fittings and fabricate your denture(s), so they will be ready before your teeth are extracted.
Next, we will extract your teeth and fit the denture(s) in, right away. This procedure is called immediate prosthesis. If you decide to have your denture(s) done this way, (recommended), you will not have to be without teeth any single day. In the following two or three months after the teeth are extracted and due to the normal gum shrinkage, you may need to have a temporary reline, which is the correction of the inside part of the denture(s) so they will be adjusted to the new shape of your gums.
- About 2 months after the extractions, when your gums will be permanently healed and shaped, you will need a reline, it means, we will make new denture(s), for you, using the same teeth, but replacing the whole pink material (base).
Functional Benefits - Improved Chewing and Digestion: the ability to eat a wider variety of foods, improving nutritiion and digestion.
- Better Speech: Fill gaps that affect articulation, allowing you to speak more clearly.
- Prevents Tooth Shifting: Stop adjacent teeth from moving into empty spaces, maintaining bite alignment.
- Restores Appearance: Replace missing teeth for a full-looking smile.
- Supports Facial Structure: Prevents facial muscles from collapsing, reducing wrinkles and maintaining a more youthful look.
- Boots Confidence: Feel more self-assured in social situations with a complete smile and improved function.
- Cost-Effective: Generally more affordable that other tooth replacement options like implants.
- Non-Invasive: A surgical-free option,good for those not suited for surgery.
- Easy to maintain: Can be removed daily for cleaning,preventing gum issues.
- Customizable: Fitted to your mouth and adjustable if your oral structure changes.
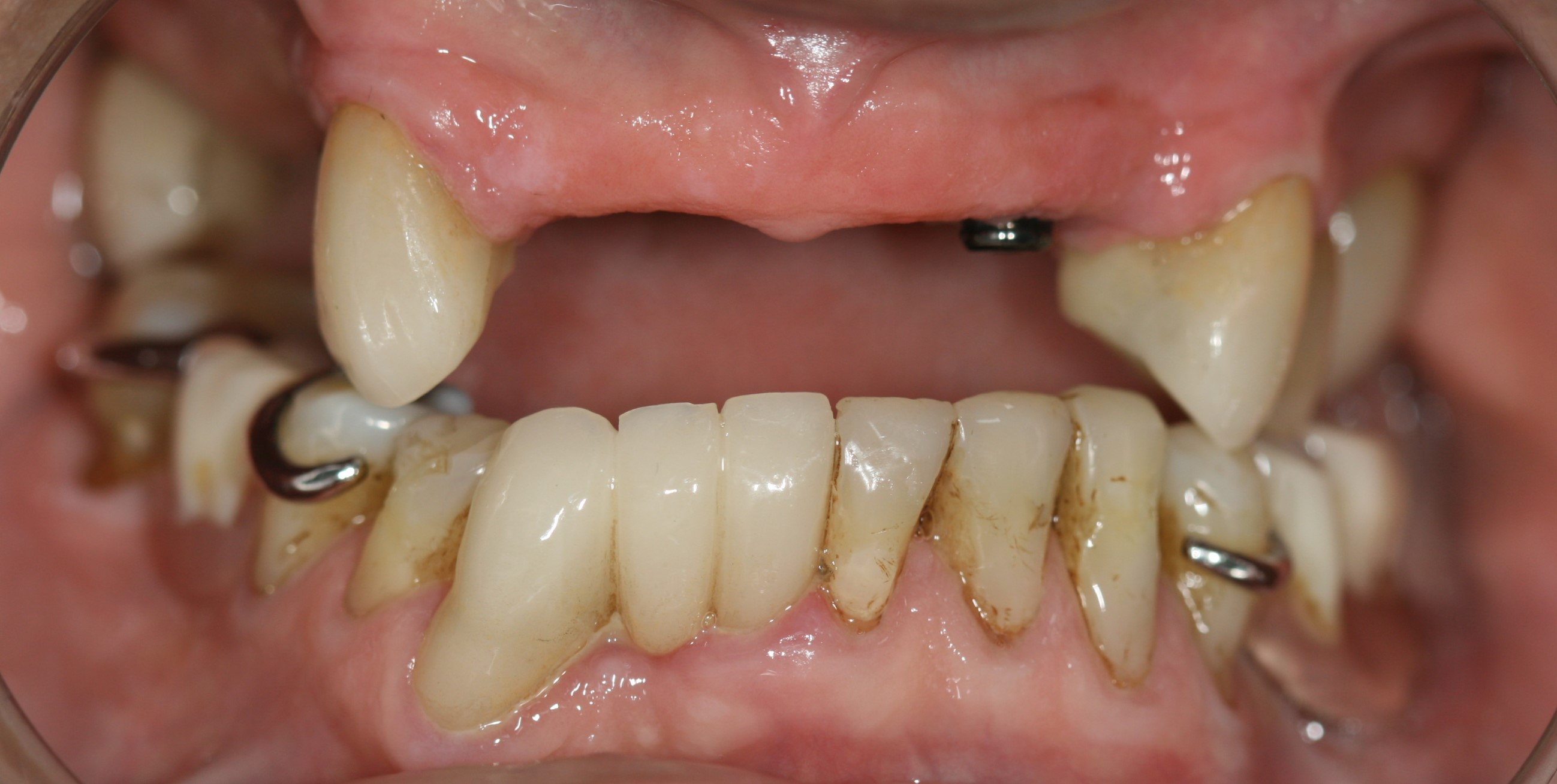
Case 1: Denture


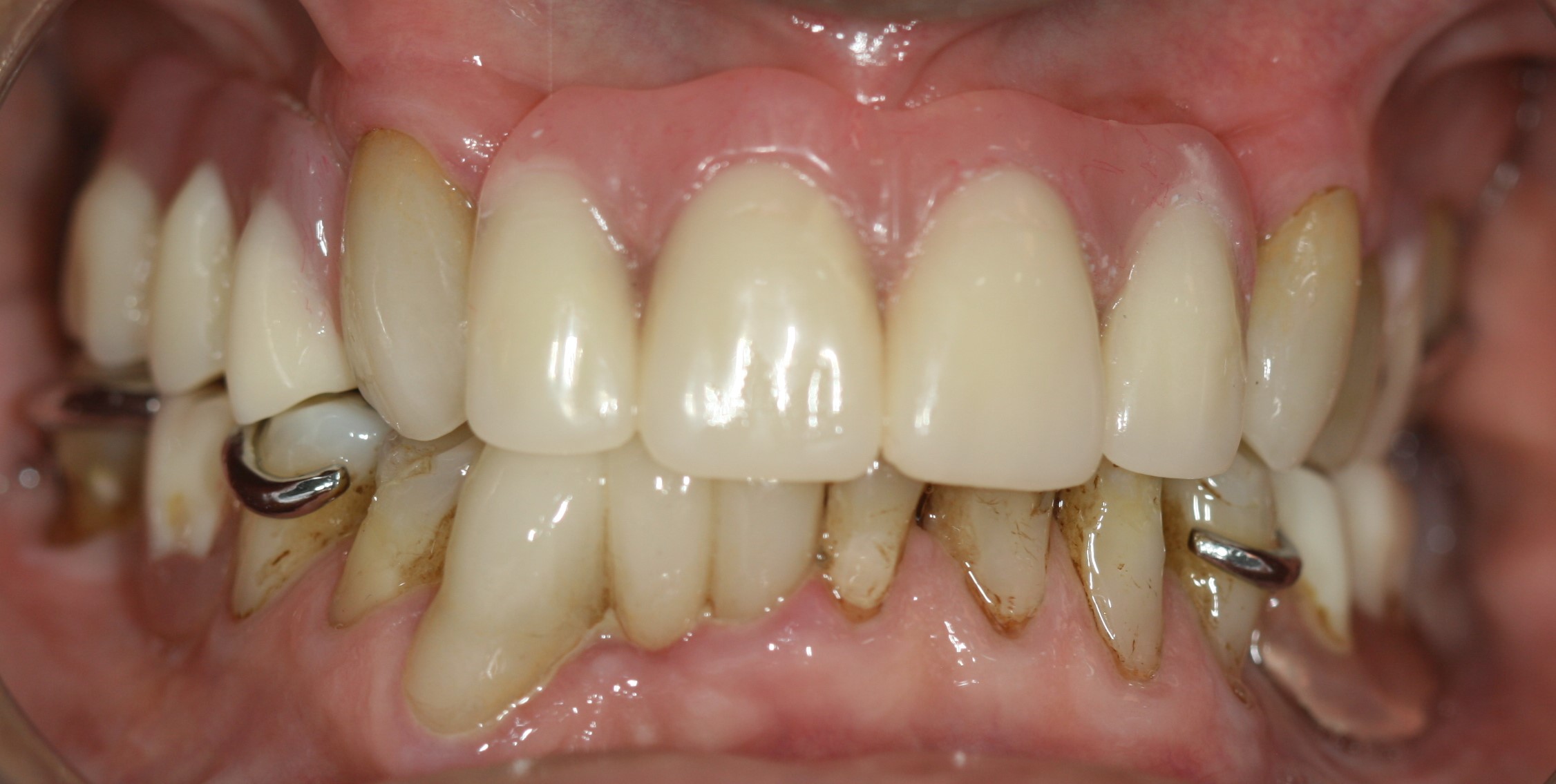
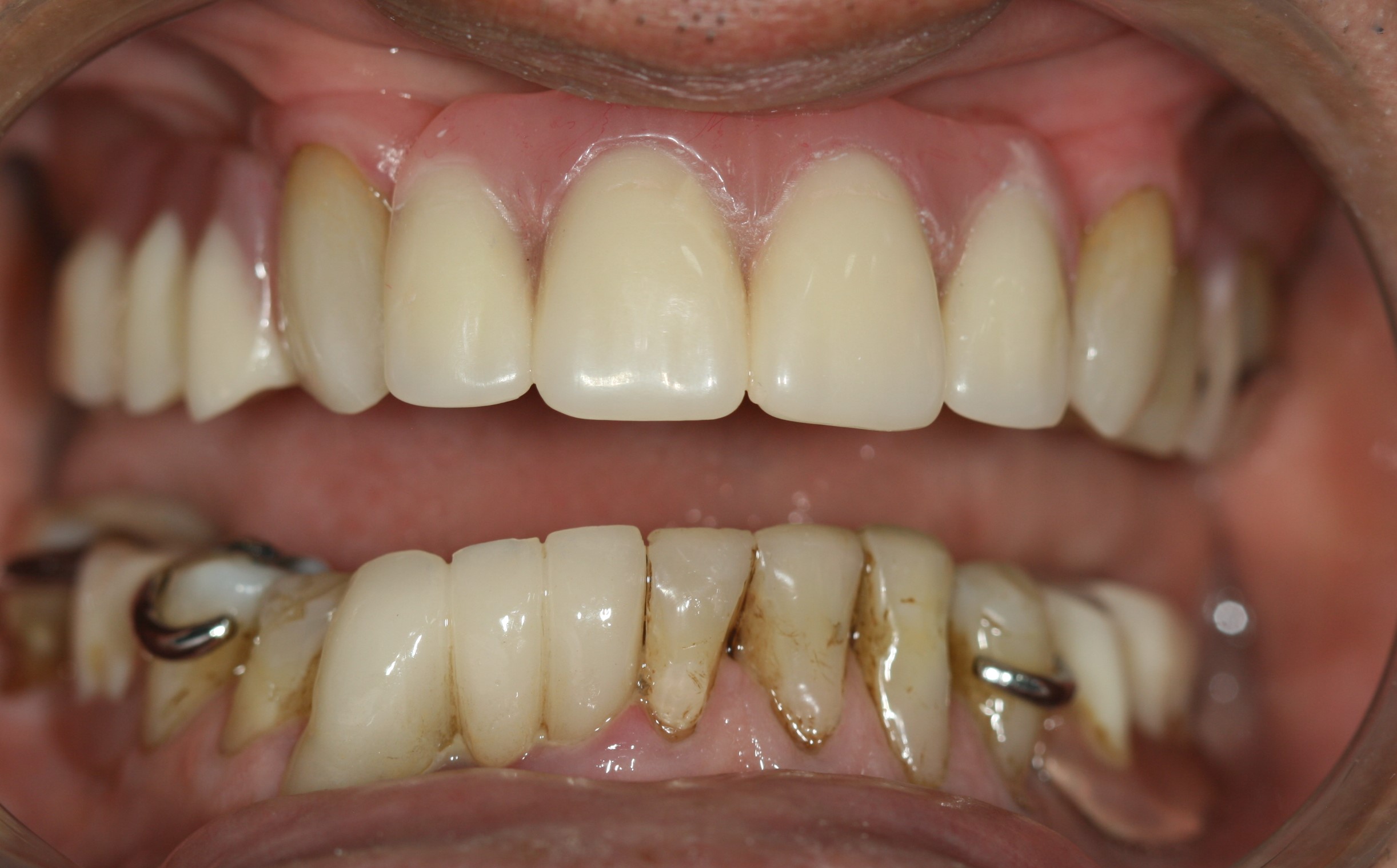
Case 2: Retain partial with implants







